
New Delhi: Researchers have investigated the remarkable brains of Heliconius butterflies, which the only known genus of butterflies that feed on both nectar and pollen. Pollen is relatively rare among flowering plants, so the butterflies have to remember the spatial information of their food sources. They also need to take routes between the food sources that are economical in terms of energy use. The Heliconius butterflies follow fixed routes between floral resources that can be comparable to bus routes. The researchers were able to find specific features in the brains of the tiny butterflies, that are responsible for their enhanced cognitive capabilities.
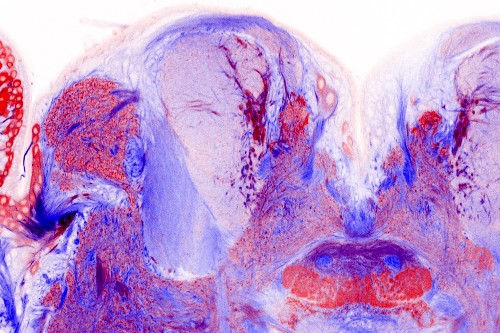
The brain of a Heliconius butterfly. (Image Credit: Max Farnworth).
The skills necessary for remembering the spatial information of food sources was previously connected top the expansion of brain structures known as mushroom bodies, which are related to learning and memory. Assemblies of neurons within the mushroom bodies fulfill the planning and memory processes necessary for the economical foraging. The researchers identified groups of cells called Kenyon cells that expanded at different rates, resulting in a mosaic pattern, so-called because as a comparison to uneven mosaic tiles forming a pattern on a floor. The researchers were able to identify specific tweaks in the neural circuits, leading to the enhanced abilities of the Heloconius butterflies.
Cognitive abilities brings about shifts in butterfly behaviours
A paper describing the findings has been published in Current Biology. Lead author Max Farnworth says, “We predict that because we see these mosaic patterns of neural changes, these will relate to specific shifts in behavioural performance – in line with the range of learning experiments which show that Heliconius outperform their closest relatives in only very specific contexts, such as long-term visual memory and pattern learning.” The researchers intend to examine the neural circuits of butterfly brains that are not related to memory and learning. The research can improve the understanding of the brains of all organisms, not just butterflies.

